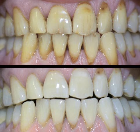
Möchten Sie hellere Zähne?
Professionelle Zahnaufhellung bei nur einem Praxisbesuch

Ein selbstbewusstes schönes Lächeln
Ein strahlendes Lächeln kann einem so manche Tür öffnen. Es gibt Selbstvertrauen und läßt einen vitaler und attraktiver aussehen. Deshalb ist es für viele Menschen wichtig, schöne, natürlich weiße Zähne zu haben.




