Professionelle Zahnreinigung – PZR

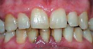
Ablagerungen an den Zähnen, Zahnstein, entzündetes Zahnfleisch
Zahnstein und Rückstände vom Rauchen, Kaffee- und Teetrinken bilden im Laufe der Zeit harte Zahnbeläge, die sich selbst mit intensivem Zähneputzen nicht entfernen lassen.
Durch die professionelle Zahnreinigung in unserem Prophylaxe-Center werden harte Beläge und Verfärbungen auf Ihren Zähnen sachgerecht entfernt und dann auf Hochglanz gebracht.

Gesunde Zähne und gesundes Zahnfleisch nach der PZR – professionellen Zahnreinigung
Zur anschließenden Pflege zu Hause wird die jeweils optimale Putztechnik vorgestellt und mit unseren ausgebildeten Prophylaxe- Helferinnen praktisch trainiert. Auf Wunsch erhalten Sie weitere Informationen über spezielle Zahnpflegemittel, die in unserem Prophylaxe-Shop angeboten werden.
Erleben Sie das phantastische Gefühl umfassender Reinheit und Frische an Ihren Zähnen!


